Ankle Joint

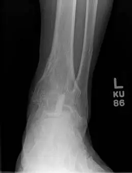
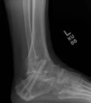
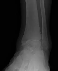
Ankle joint replacements are a reserved procedure for patients who meet certain criteria for functionality involving age, medical conditions, level of arthritis, and activity level, amongst others. The level of arthritis is typically severe and dibilitating as demonstrated in the x-ray image below. This person had a severe ankle fracture many years ago that was surgically repaired and later developed limiting arthritis to the point where they could no longer use their ankle because of pain. There is absence of joint space at the ankle joint along with remodeling of the bones around the ankle due to degeneration of the joint. The abnormal appearance of the thin bone called the fibula is a result of not fixing this bone when the patient had the original surgery.  This is referred to as malunion.

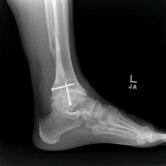
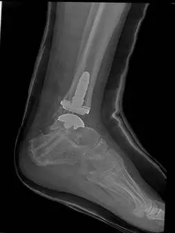
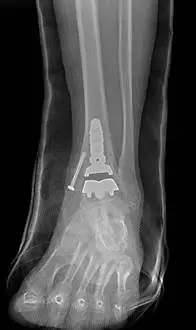
The following are images after surgical replacement of the ankle joint with a mobile bearing ankle prosthetic called the S.T.A.R. (SBI). This replacement joint will function similarly to a normal anatomical joint, allowing the patient normal function in daily activities, but was not designed to take repetitive use during more intense athletic activity. The joint has a polyethylene spacer between two metal parts that acts as shock absorber and gliding agent similar to cartilage. There is physical therapy that is required after surgical joint replacement in order to get the patient back to funcional capacity.

Post-traumatic arthrirtis treated with Total Ankle Replacement

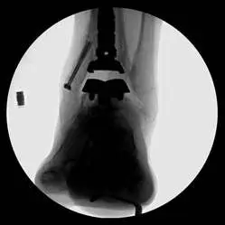
This is a series of pics of an ankle fusion takedown with replacement with a total ankle implant.  The patient was having pain and getting arthritic changes at the talonavicular joint. This is the first ankle fusion takedown with replacement of a total ankle implant performed in South Florida by one of the surgeons in our practice.

These are pics of the fusion prior to takedown

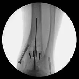
These first three pics are placement of screws in the medial malleolus and distal fibula to aid in stability.

This is a pic of the implant getting mapped out for placement in the distal tibia

This is the guide for the tibia component of the implant

These are pics of the implant being placed in the ankle joint

These are final pics of the ankle replacement after fusion takedown

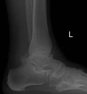
Pre and Post op Pics of Arthiitic Ankle S/P Total Ankle Replacement (TAR)

 

 

Preop, Intraop and Postop X-rays status post Total Ankle Replacement for Ankle Arthritis