Calcaneus Stress

STRESS FRACTURES TO THE HEEL
By: Robert H. Sheinberg, D.P.M., D.A.B.P.S., F.A.C.F.A.S.

Stress fractures of the heel are uncommon in children. However, may be seen in young teenagers. A microfracture that usually occurs in the heel is due to abnormal stress that has been placed upon it. The most common presentation is a young athlete who presents with a sudden alteration in their training regimen, (i.e., more sprinting, increased mileage or increased training intensity) that develops global pain around the heel. Swelling may or may not be seen with this problem. This type of injury is more common in women, especially those with menstrual irregularities and lower calcium intake.

 CAUSES:

  • Stress fractures are overuse injuries that cause stress to the bone that exceeds the bone’s ability to repair itself. 
  • Repetitive stress to the bone over a short period of time, especially in an unconditioned athlete.
  • Usually seen at the beginning of a sports season.
  • Structural abnormalities of the heel bone (cavus or high arch foot) may predispose the patient to this problem.

SYMPTOMS:

  • Diffuse tenderness to the heel bone upon grasping the heel. More of the tenderness is to the outside than inside of the heel bone.
  • Occasionally seen with low-grade swelling on the outside of the heel.
  • Pain may be minimal in the morning but as the day goes on pain gets worse, causing difficulty walking.
  • Inability to participate in any type of sporting activity due to pain.

X-RAYS:

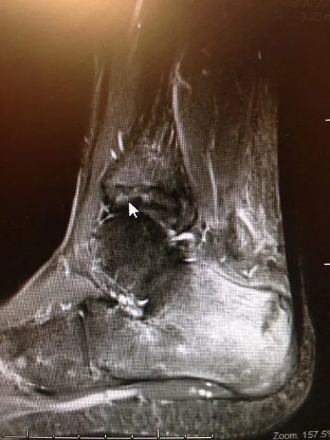
  • Usually negative for stress fractures of the heel. MRIs and bone scans are rarely necessary as the diagnosis of stress fractures is made by a good clinical examination.

TREATMENT:

  • Rest from the activity precipitating the problem. Cross training activities that do not stress or overload the bones (example: swimming, cycling, Stairmaster). 
  • Immobilizing the extremity in a removable boot usually lessens the pain immediately and allows ambulation.
  • If unresponsive to immobilization in a removable boot, utilizing a fiberglass cast will immediately allow healing of the bone to take place. 
  • A change to a softer running athletic surface and the use of cushion shock absorbing custom molded orthotics.
  • In females with menstrual irregularities, follow up with a physician is imperative.
  • Calcium and vitamin D supplementation.

PROGNOSIS:
Prognosis of stress fractures to the heel (calcaneus) is usually excellent. The condition usually takes between 4 and 8 weeks to heal. In the competitive athlete it usually takes 6-8 weeks before activity can begin. Predisposing factors must be identified and treated appropriately. Long-term recurrence is rare.

MRI imaging is excellent for diagnosing stress fractures. A T1 weighted image will show normal bone in a white color and edema and/or fracture lines in gray to black color (below left). T2 weighted imaged are the opposite and will show bone black and any fluid like swelling within the bone or throught a fracture as white (below right).