Child Foot and Ankle Fractures

Pre and Postop ORIF Displaced Big Toe Intra-articular Pediatric Fracture (Below)


FRACTURES AND SPRAINS IN CHILDREN AND TEENAGERS
By:  Robert H. Sheinberg, D.P.M., D.A.B.F.A.S., F.A.C.F.A.S. 

Why are injuries common in children?

  • Competitive Sports are becoming a greater part of the lives of young families.  There are more kids competing in multiple sports.  Many young athletes are improperly conditioned and may have structural abnormalities that  predispose them to injury.  The growing portion of the bone (growth plate) is susceptible to stress and trauma.  Their immature skeletal system is more predisposed to injury than the adult.

What are the most common injuries?

  • Ankle, knee and wrist growth plate injuries are the most common.  During sports a tremendous amount of stress goes through these joints.  This is especially true in soccer and basketball.

How do injuries occur?

  • Injuries may occur from falls (skateboard, rollerblades), direct trauma (getting kicked), twisting motions (turning the foot under the ankle, twisting the knee), repetitive motion (tendonitis) and overuse (stress fractures).

What makes injuries in children and teenagers different from adults?

  • Fractures and sprains in children result from relatively simple injuries, rather than complex mechanical forces that usually cause adult injuries.  Injuries may involve specific growth regions (growth plates) of bone, causing disturbances of bone growth.  Bone growth problems may not manifest themselves immediately. 
  • Ligaments are looser in children than in adults.  Also, they are more resistant to stress than growth plates.  Therefore, ligament injuries occur less often in kids than do growth plate injuries. 
  • Bone remodeling in a growing child may in some cases realign a fracture that looks slightly out of place making absolute anatomic reduction less important in children than adults. However, exact reduction should be attempted whenever possible when treating a child or teenager with a broken bone.

How does a parent know if the injury is a medical emergency?

  • A significant amount of swelling is seen and pain is severe.
  • The extremity looks visually distorted or out of place compared to the uninjured side.
  • A fracture may be associated with a break in the skin.  Bone may be sticking out (open fracture).
  • Immediate swelling and the inability to move the injured area.  There will be extreme difficulty weightbearing or using the extremity.

Will my child need surgery?

In almost all cases fractures and sprains in children and teenagers are treated conservatively with casts, boots and braces.  Certain injuries are medical emergencies and will need operative intervention.  These may include:

  1. Significant displacement of the fracture-that cannot be put into proper position with manipulation and casting.
  2. Open Fractures (bone sticking out through the skin).
  3. Compartment Syndrome (severe swelling).
  4. Dislocations that cannot be reduced and/or cause nerve and arterial injuries.

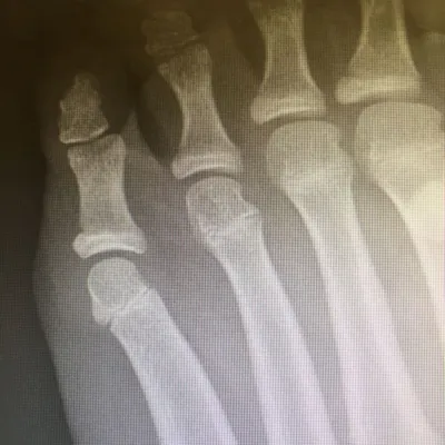
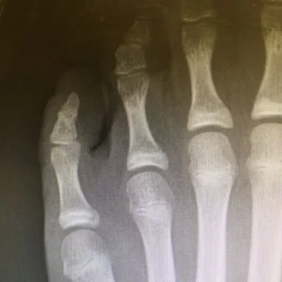
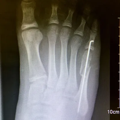
Pediatric Displaced 5th Met Distal shaft/neck fracture

Preop Pics of the displaced fracture prior to Percutaneous Fixation and Reduction

We percutaneously put a pin across the fracture after closed reduction for 12-16 weeks. The last picture is a final after the fracture is healed and the pin is removed.

What is the best treatment available?

  • Treatment involves a thorough history of the injury and physical examination of the injured area.  Predisposing factors must be identified.  X rays  and occasionally MRIs and CT scans are taken to reveal the extent of the injury. Most minor injuries may be treated with rest, ice, compression, and elevation.  More significant injuries may require a weightbearing or non-weightbearing cast or brace.  Severe injuries may require surgery if conservative care does not or will not achieve an acceptable result.  Delayed healing or non-healing(nonunion) of fractures is rare.
  • Prognosis is usually excellent if the fractured bone or growth plate is anatomically positioned. 

Do children heal quickly?

  • The younger the child, the more rapid the healing time of the fracture or sprain.

Are there any long-term concerns?

  • Growth plate injuries may cause disturbance of bone growth.  Fractures of the leg may cause limb-length discrepancies and joint malalignment.  Untreated wrist injuries can cause premature arthritis.  The child is followed with exams and x-rays until skeletal maturity.  The tendency to cease follow up care may result in subsequent presentation of significant growth deformities. Fractures into the foot, ankle, wrist or knee joint  may cause arthritis in that joint at a later time.  This occurs most often if the joint fracture heals in poor alignment.

How do we know if my child is ready to resume sports?

  • We check the injury frequently and inform you if the injury has healed enough to resume sports.  You will also notice that your child will have minimal disturbance of gait (no limping).  Pain free use of the hand, arm or leg are usually present.  Stiffness and swelling are usually minimal.  Always check for pinpoint tenderness as this is indicative of incomplete healing.  Children often try to get back into sports too quickly after an injury.  A gradual, guarded and sensible return to sports should be the rule. 
  • Physical therapy may be necessary to restore full motion of the joint, restore muscle strength and balance.

How do we avoid injuries?

  • Certain children may be predisposed to injuries.  Poorly aligned extremities(i.e. flat feet, extremely high-arched feet, bowlegs, knock-knees, in-toe or out-toe) should be evaluated prior to engaging in sports so that a child is not put at risk. Daily stretching of tight muscles to allow full range of motion at all lower extremity joints lessens the risk of injuries.  Also, target training of any weak muscle groups is necessary to assure that all muscles groups are working together.  Proper shoe gear is important and if necessary, custom-molded in-shoe orthotics  may be necessary to realign the feet and lower extremity.  They will stabilize the foot and leg to allow for more activity and less chance of injury.  Braces and splints may be necessary to protect areas that are at high risk for injury.

**********

Examples of Pediatric Foot Fractures (Below)

Pediatric Metatarsal Neck Fractures

Pediatric Coalition Fracture of the DIPJ fifth toe initial and healed

Below is an x-ray image of an extra-articular fracture of the proximal phalanx of the hallux (great toe) of a child. the fracture line does not enter the joint.

First Metatarsal Fracture

This is post-operative x-ray of a repair of a fracture of the long bone of foot connected to the great toe, There are three pins holding the fracture fragments in place, and once this heals the pins are removed.

  

MRI of Pediatric Heel (Calcaneus) Stress Fracture Below

 

 

Click here for more information