Comminuted

COMMINUTED FRACTURES
By: Robert H. Sheinberg, D.P.M., D.A.B.P.S., F.A.C.F.A.S.

Fractures to these bones can occur from a single traumatic event.  This would be common in somebody falling from a height and landing on the ball of the foot.  Fractures of the sesamoids can be nondisplaced or moderately displaced.  Displaced fractures to this bone are often difficult to treat.  Surgery is often necessary to remove one or more of the fracture fragments and allow the person or athlete to return to sporting activities.  Nondisplaced fractures can be treated conservatively.  This requires a boot nonweightbearing for a period of 6-8 weeks.  Healing of these fractures can be very prolonged.  Following immobilization, an orthotic put in the person’s shoe would assist the patient in unloading the area to maximize the healing process. 

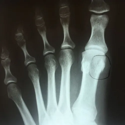
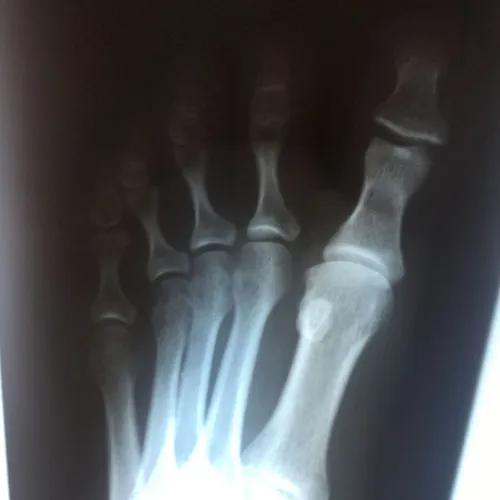
Patient had chronic pain after comminuted sesamoid fracture. After conservative care, patient had total sesamoidectomy and is pain free 3 months postop

Pre and Postop Tibial Sesamoidectomy