Diaphyseal

Diaphyseal fractures result from twisting or rotation of the ankle or leg caused by a stumble or fall.  X-rays taken 2 to 3 weeks after the injury often show changes consistent with healing.  Treatment is either cast or boot immobilization.  If closer to the knee, an above-knee non-weightbearing cast is utilized to decrease stress to the fracture site.

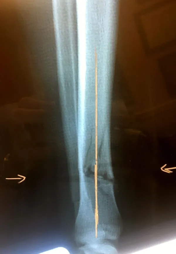
Below, Tibia and Fibula Fracture in a 16 year old injured skiing. The patient presented to the office 8 days after injury with a displaced fracture. The first 2 films show the displacement in the fracture of the tibia. After an above knee cast is appiled, the cast is wedged under fluoroscopy and new xrays show the near perfect reduction of the fracture. The white arrows show the area where the cast is wedged

Wedging of cast to keep a tibia fracture well aligned. We wedge the cast on a side if there is malalignment early on in the fracture healing to realign the fracture

Pictured below is an x-ray of a more severe diaphyseal fracture of the tibia from higher velocity impact. This can heal without surgery but must be carefully monitored with above the knee casting to eliminate tibial torsional force from the knee or ankle.

 

Below is a stress fracture in an ameteur athlete with fracture seen on X-ray, this is also referred to as "the dreaded black line"

Same fracture seen 8 weeks later with bridging across the fracture and fracture callus