Elbow Dislocation

Elbow Dislocation Information courtesy of the AAOS via Dr Tony Moya, M.D., FAAOS  

When the joint surfaces of an elbow are separated, the elbow is dislocated. Elbow dislocations can be complete or partial. In a complete dislocation, the joint surfaces are completely separated. In a partial dislocation, the joint surfaces are only partly separated. A partial dislocation is also called a subluxation. Anatomy

Normal elbow anatomy. Bones of the elbow.
(Reproduced with permission from Tashjian RZ, Katarincic JA: Complex Elbow Instability. J Am Acad Orthop Surg 2006;14:278-286.)

Three bones come together to make up the elbow joint. The humerus is the bone in the upper arm. Two bones from the forearm (the radius and the ulna) form the lower part of the elbow. Each of these bones has a very distinct shape. Ligaments connected to the bones keep all of these bones in proper alignment.

The elbow is both a hinge joint and a ball and socket joint. As muscles contract and relax, two unique motions occur at the elbow.

  • Bending occurs through a hinge joint that allows the elbow to bend and straighten. This is called flexion and extension, respectively.
  • Rotation occurs through a ball and socket joint that allows the hand to be rotated palm up and palm down. This is called pronation and supination, respectively.

Injuries and dislocations to the elbow can affect either of these motions.

Normal elbow anatomy. Left, Ligaments of the elbow.
Cause

Elbow dislocations are not common. Elbow dislocations typically occur when a person falls onto an outstretched hand. When the hand hits the ground, the force is sent to the elbow. Usually, there is a turning motion in this force. This can drive and rotate the elbow out of its socket. Elbow dislocations can also happen in car accidents when the passengers reach forward to cushion the impact. The force that is sent through the arm can dislocate the elbow, just as in a fall.

The elbow is stable because of the combined stabilizing effects of bone surfaces, ligaments, and muscles. When an elbow dislocates, any or all of these structures can be injured to different degrees.
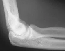
A complete elbow dislocation.

A simple dislocation does not have any major bone injury.

A complex dislocation can have severe bone and ligament injuries.

In the most severe dislocations, the blood vessels and nerves that travel across the elbow may be injured. If this happens, there is a risk of losing the arm.

Some people are born with greater laxity or looseness in their ligaments. These people are at greater risk for dislocating their elbows. Some people are born with an ulna bone that has a shallow groove for the elbow hinge joint. They have a slightly higher risk for dislocation.

Symptoms
 

A complete elbow dislocation is extremely painful and very obvious. The arm will look deformed and may have an odd twist at the elbow.

Partial elbow dislocation (subluxation).

A partial elbow dislocation or subluxation can be harder to detect. Typically, it happens after an accident. Because the elbow is only partially dislocated, the bones can spontaneously relocate and the joint may appear fairly normal. The elbow will usually move fairly well, but there may be a pain. There may be bruising on the inside and outside of the elbow where ligaments may have been stretched or torn. Partial dislocations can continue to recur over time if the ligaments never heal.

Diagnosis
 

The doctor will examine the arm. He will check for tenderness, swelling, and deformity. He will evaluate the skin and circulation to the arm. Pulses at the wrist will be checked. If the artery is injured at the time of dislocation, the hand will be cool to touch and may have a white or purple hue. This is caused by the lack of warm blood reaching the hand.

It is also important to check the nerve supply to the hand. If nerves have been injured during the dislocation, some or all of the hand may be numb and not able to move.

An X-ray is necessary to determine if there is a bone injury. X-rays can also help show the direction of the dislocation.

X-rays are the best way to confirm that the elbow is dislocated. If bone detail is difficult to identify on an X-ray, a computed tomography (CT) scan may be done. If it is important to evaluate the ligaments, a magnetic resonance image (MRI) can be helpful.

First, however, the doctor will set the elbow, without waiting for the CT scan or MRI. These studies are usually taken after the dislocated elbow has been put back in place.

Treatment
 

An elbow dislocation should be considered an emergency injury. The goal of immediate treatment of a dislocated elbow is to return the elbow to its normal alignment. The long- term goal is to restore function to the arm.

Nonsurgical Treatment

The normal alignment of the elbow can usually be restored in an emergency department at the hospital. Before this is done, sedatives and pain medications usually will be given. The act of restoring alignment to the elbow is called a reduction maneuver. It is done gently and slowly. Two people are usually required to perform this maneuver.  

Nonsurgical Treatment

Normal alignment after the elbow has been reduced.

The normal alignment of the elbow can usually be restored in an emergency department at the hospital. Before this is done, sedatives and pain medications usually will be given. The act of restoring alignment to the elbow is called a reduction maneuver. It is done gently and slowly. Two people are usually required to perform this maneuver.

Simple elbow dislocations are treated by keeping the elbow immobile in a splint or sling for two to three weeks, followed by early motion exercises. If the elbow is kept immobile for a long time, the ability to move the elbow fully (range of motion) may be affected. Physical therapy can be helpful during this period of recovery.

Some people will never be able to fully open (extend) the arm, even after physical therapy. Fortunately, the elbow can work very well even without full range of motion. Once the elbow's range of motion improves, the doctor or physical therapist may add a strengthening program. X-rays may be taken periodically while the elbow recovers to ensure that the bones of the elbow joint remains well aligned.

Surgical Treatment

A complex dislocation of the elbow. In addition to dislocation, there are multiple fractures of the elbow.

In a complex elbow dislocation, surgery may be necessary to restore bone alignment and repair ligaments. It can be difficult to realign a complex elbow dislocation and to keep the joint in line.

After surgery, the elbow may be protected with an external hinge. This device protects the elbow from dislocating again. If blood vessel or nerve injuries are associated with the elbow dislocation, additional surgery may be needed to repair the blood vessels and nerves and repair bone and ligament injuries.

Late reconstructive surgery can successfully restore motion to some stiff elbows. This surgery removes scar tissue and extra bone growth. It also removes obstacles to movement.

Over time, there is an increased risk for arthritis in the elbow joint if the alignment of the bones is not good; the elbow does not move and rotate normally; or the elbow continues to dislocate.