Hallux Varus

 

Hallux Varus is a rare complication after Bunion correction surgery to which the big toe was overcorrected. 

   

Before Surgery  

     

 After Surgery 

The following radiograph depicst deviation of the great to away from the lesser toes created enlarged spacing between the great toe and second toe. This makes walking and use of shoegear difficult.

 

Etiology

  • Complication of hallux valgus operation
    • The most common cause
    • May be apparent immediately after surgery (over correction) or occur years later
    • Excision of fibular sesamoid is a major contributory factor
    • Classic example is original McBride procedure
  • Trauma
  • Inflammatory rupture of conjoined tendons; e.g. rheumatoid arthritis

Clinically

  • Medial deviation of great toe
  • Difficulty using footwear in severe cases
  • Check for
    • Joint tenderness and inflammation
    • Sesamoid presence and tenderness
    • Fixed or correctable deformity
    • ROM in passively corrected position

Treatment

  • Conservative management
    • Shoe stretching
    • Curved-last shoe

Indications of surgery

  • Painful varus
  • Inability to wear shoes
  • To choose the right procedure, one should consider the condition of the joint
    • Fixed deformity or arthritic joint : arthrodesis
    • Passively correctable deformity and no arthritis :
      • Lengthening of medial capsule
      • Partial transfer of EHL or total transfer of EHB to lateral aspect of proximal phalanx
      • Transferred tendon should pass under inter-metatarsal ligament

Avulsion Fracture of Lateral Collateral Ligament causing Hallux Varus, THe fractue can be seen to the right of the 1st metatarsal head.

 

Hallux Varus Pre and Postop with 1st MPJ Fusion Below

Hallux Varus Postop and Preop with 1st MPJ Fusion Below

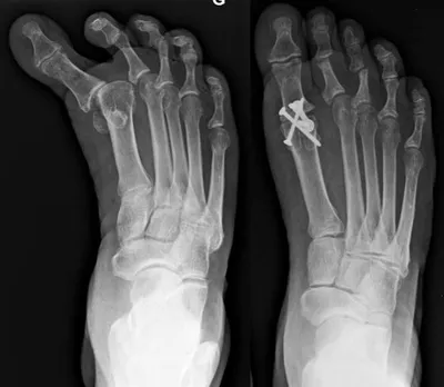
Deviation of the great toe off of the 1st metatarsal in long standing deformity with history of previous surgery as proof by the surgical screw at the base of the 1st metatarsal. The great toe joint (1st MPJ) is severly degenerated from arthritis (left). Surgical correction of this condition involves fusion of the joint with a cross screw technique (right) which will eliminate pain and difficult with walking and other activities.

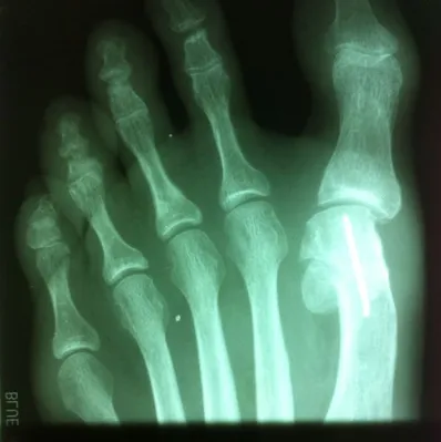
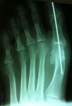
Varus position great toe after bunion surgery, the great toe is deviated laterally away from the lesser toes (left). Surgical procedure performed involved soft tissue correction and temporary fixation with a Kirschner wire (center). Several weeks after surgery the wire is removed and the great toe is now in rectus (straight) position.