Lis Franc Injury


LIS FRANC INJURIES
By: Robert H. Sheinberg, D.P.M., D.A.B.F.A.S., F.A.C.F.A.S.

Lisfranc injuries are challenging injuries that cause disruption to the ligaments in the middle portion of the foot. They are more common in sports activities such as football. When the foot is pointed down and something lands on the back of the heel the midfoot area collapses. This causes a disruption of the ligaments in the midfoot and often the bones around them. These injuries can also occur from something as simple as falling forward while wearing a shoe with a heel. Coming off of a step and falling forward can also cause injuries to the midfoot region. A disruption of the ligaments in the midfoot is rare with direct trauma to the area. Direct trauma often causes a fracture to the bones in the midfoot region.

Lisfranc injuries cause an immediate swelling and pain throughout the midfoot area both on the top and bottom of the foot. It is often accompanied by a black and blue area on the bottom of the foot, which usually accompanies more traumatic events. Patients often experience diffuse swelling and difficulty weightbearing. These injuries need to be evaluated and addressed immediately.

X-rays are taken to evaluate the midfoot region. X-rays are always best taken with the patient putting weight on the foot to get a full evaluation of the extent of injury. When inconclusive, MRls and often CT scans are necessary to evaluate the injury. When the ligaments are disrupted or the bones have fractured, the midfoot bones start to separate. This could lead not only to short-term problems but long-term injuries of the midfoot area which cause the foot to start to look and function in a deformed way. This progressive deformity will often cause an inability for the patient to not only exercise but perform activities of daily living. It is a progressive deformity that if often unattended can be disabling.

Acute treatment of Lisfranc injuries is to fully evaluate the extent of the injury. When the bones have separated most often open reduction and internal fixation is performed. This will allow the bone to be put back to its proper anatomical position and allow healing of the ligaments. Most commonly we place the patient twelve weeks nonweightbearing. We avoid putting screws across the joints, which is commonly performed to avoid injuries to the joint surface. Small K-wires are more than enough to hold the position of the joints during the healing process. Any pins that are placed across the joint surfaces are removed at approximately twelve weeks. The main screw going from the inside of the cuneiform to the second metatarsal would stabilize the Lisfranc ligament will often remain. This may add further stability to the midfoot. Screws may have a tendency to loosen over time or even break. This provides no long-term problems.

Lisfranc injuries are often associated with arthritis at some point in the future despite the most perfect anatomic reduction. Sometimes the arthritis is very subtle and can be treated with anti-inflammatories and an orthotic placed in a person's shoe. If the problems persisted, then fusing one or two of the small joints in the midfoot may provide complete relief of all symptoms and a full return to all activity. 

************************************

Below is the case of a young female athlete was injured while playing soccer, she had pain and swelling at the midfoot. MRI imaging confirmed ligament rupture. The procedure was done percutaneously with flourscopic guidance. Pictured on the left is pre operative and post operative x-ray to the right. She went on to heal uneventfully after physical therapy, and has since returned to playing soccer.

 

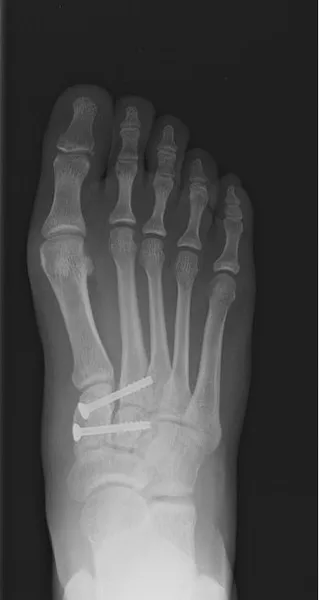
This is an example of an injury to the arch of the foot involving the Lis Franc's ligament between the base of the 2nd metatarsal and the medial cuneiform bone. This is a very important stabilizing ligament of the foot (left). This injury is repaired surgically with screws, pins and occasionally surgical plates. This case was corrected with a combination of screw and pins (right).

 

 

 

  

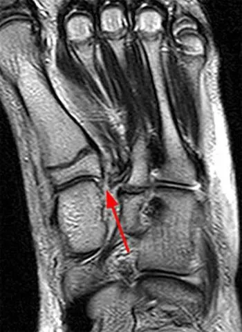
Below is an MRI image demonstrating the location of the Lis Franc's ligament with the ligament ruptured (red arrow).

The images below demonstrate Lis Franc's ligament rupture with increased spacing between the medial cuneiform and the intermediate cuneiform. The ligament is attached between the base of the 2nd metatarsal and the lateral aspect of the medial cuneiform (left). The post-surgical repair with screw fixation (right) shows reduction in that aforementioned space between the cuneiforms re-establishing the stability of the medial midfoot.

        

               

In the x-rays below there are fractures seen in the midtarsal bones that can occur with a high impact twisting injury where the foot is caught in something like the stirrup of a horse saddle or from direct high impact traums to the middle of the foot. The fractures can be seen from a view at the top of the foot (left) and side of the foot (right). This injury requires open reduction with internal fixation in order to re-align the fractured bones and prevent disability (Bottom left).

   

 

   

 

 

Pre and Post-op X-rays Status Post ORIF Lis Franc Fracture/Dislocation. The Widening of the Lis Franc joint can be seen on the first pic and second magnified pic. Complete reduction and fixation can be seen in the last pic.

 

These are pics of an open midfoot fracture and dislocation after a motor vehicle accident.

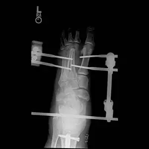
These are pics of the external fixator on to hold temporary reduction prior to internal fixation

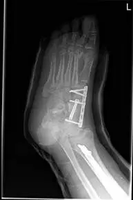
These are pics of the plate and screws stabilizing the fractures after ex fix was removed. An IM rod was also placed for a tibia fracture.

The staples on the next two pics are of a split thickness skin graft on the anterior leg (STSG).

Click here for more information