
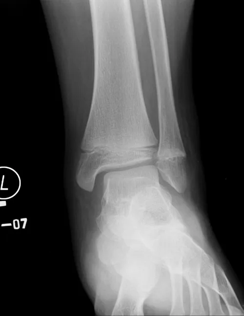
Salter-Harris I fracture is a complete separation of the epiphysis from the metaphysis with the fracture line passing through the physics. This injury is more common in young children. In most cases, there is a spontaneous reduction of the fracture. Treatment includes below knee cast or CAM walker immobilization.