Subtalar Implant/Arthroeresis

Pre and Postop Subtalar Implant and Percutaneous TAL for Pediatric Flatfoot Below (Patient SS)

Series of Pics Status Post Subtalar Implant

 

  

Xrays of Child above (pre and postop)

 

Pre-operative x-rays of the flatfoot with the talus deviated medially due to subluxing off the calcaneus causing the midtarsal joint to sublux laterally and uncovering of the talar head at the talo-navicular joint (left). The talus bone should line up with or be close to paralletl with a line drawn through the 1st metatarsal shaft (right). This is referred to as Meary's angle.

One case see an improvement in Meary's angle after surgical repair of the flatfoot with a subtalar joint implant which blocks the subluxation of the talus off of the calcaneus.

Preop flatfoot surgery on Left foot and post Achilles lengthening with subtalar implant right (Below)

 

Before and after subtalar joint implant and gastroc recession (below)

   

 

Pre and Post Subtalar Implant (Patient GB)

Pre and Post Subtalar Implant (Patient DM)

Pre and Postop Subtalar Implant (Patient PB)

Pre and Postop Subtalar Implant

Clinical Pics of Patient

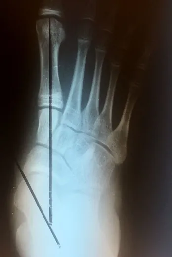
Below are x-rays of a foot pre-operatively (left) where the black line indicates and plantarflexed (downward directed) talus bone and post-surgical repair with a subtalar joint implant and lenthening of the calf muscle which allows the calcaneus (heel bone) to set underneath the talus and the implant keeps the talus from subluxing off the calcaneus and now the talus is more inline with the front of the foot (right).

S/P gastroc recession and subtalar implant (Below)

Preop of Left foot and post op Right foot status post flatfoot correction with subtalar implant (Below)

Pre and Postop Subtalar implant and gastroc recession (calf muscle lengthening) (Below)

Below is a photograph of a patient before and after flat foot surgical correction with subtalar joint implant

 

Preop and postop flatfoot correction with subtalar implant and percutaneous Achilles lengthening right foot (Below)

(Preop)

Postop ( Right is corrected and Left is not)

 

Preop of Left foot and post op Right foot status post achilles lengthening and subtalar implant (below)

Pre and Post op pictures status post subtalar implant flatfoot correction (Below)

Post Percutaenous Achilles lengthening and subtalar implant for flatfoot correction Right and preop flatfoot correction Left (Below)

 

 

Click here for more information