Toddlers

Occult fractures are very difficult to detect in children.  Acute onset of limping in infants and children can be an indication.  The classic toddler fracture is a nondisplaced oblique fracture of the tibia resulting from twisting or rotation due to a fall or stumble.  X-rays are taken 2 to 3 weeks after the injury often show changes consistent with healing.  MRI is being used for early detection of toddler fractures.  The downside to MRI is children often need to be sedated to keep them still during the imaging study.  Treatment is often a cast or boot immobilization.

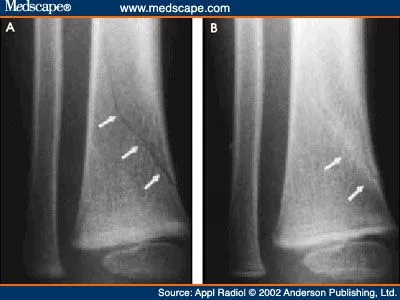
The two pics below are of a nondisplaced subtle toddler tibia fracture. There is a spiral oblique fracture of the distal tibia

Xrays of nondisplaced toddler fracture

Image result for toddler fracture

Subtle toddler fracture